Spark Clear Aligners provide you with full control of treatment planning and the flexibility to deliver predictable and efficient treatment, reducing chair time² and providing the healthy smiles your patients will love.


Spark is a nearly invisible aligner and a discreet alternative to traditional braces¹

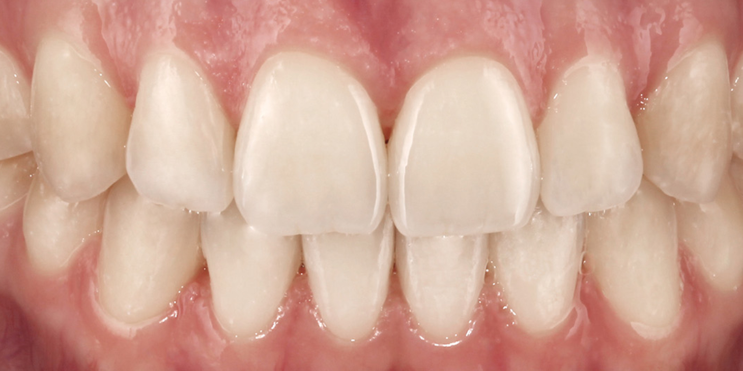
Custom trays are designed with polished scalloped edges to help enhance patient comfort.¹

Experience enhanced tooth movement through offering a 19% better contact surface area than the leading aligner brand¹

More consistent surface texture, surpassing the leading aligner competitor for greater patient comfort and a nearly invisible aligner ¹

78% better printing resolution than the leading aligner brand for a customized, precise fit and optimal treatment outcomes.¹








Our aligners are designed with TruGEN™, renowned for its flexibility, and TruGEN™ XR, recognized for its rigidity. Both materials are available for all primary and refinement Spark cases, offering reliable sustained force retention and effective tooth movement for optimal results.¹
TruGEN
TruGEN XR

The higher the value, the more rigid the material.
TruGEN™ material provides sustained force retention, better surface contact area with the tooth, and superior clarity, comfort, and stain resistance compared to the leading aligner brand.¹
TruGEN™ XR is an extra rigid material designed for finishing and refinements for greater control, while maintaining the advanced force retention, clarity, stain resistance, and thickness of TruGEN™.¹
All our clear aligners are customized to fit each patient’s unique dental anatomy. To do this we use digital scanning and 3D printing. Unlike other brands, Spark Aligners offer better printing resolution, a more uniform surface, and a reduced need for refinements.¹



A central hub to optimize workflow
The Spark Software Platform is a powerful, innovative tool designed to simplify your workflow, streamline treatment planning and monitoring, and enhance patient care. You can also fine tune treatment plans and ensure precise tooth movement with the platform’s advanced features:
Get anywhere-access to your favorite features.
Supported by Google Chrome and Microsoft Edge, Spark Approver Web works on any internet-connected computer – no installation or updates required.

Spark has a range of features that improve practice efficiency, enable consistent performance and streamline the treatment process.

Posterior Bite Turbos simplify treatment
by enabling molar and premolar intrusion during treatment without the need for traditional bonding or composite filling¹.

Integrated Hooks enable reliable performance
by offering a patented design renowned for its durability and an alternative to classic elastics or button cut-outs.

Attachment Template enables practice efficiency¹
by revolutionizing the bonding process and offering superior effectiveness compared to leading competitors.

Ormco Digital Bonding expands treatment options
so that you can treat patients with a wider range of treatment modalities.

Dr. Bill Dischinger³
On using Posterior Bite Turbos

Open bite, by Dr. Cristina Stoecker, Germany⁴

Deep bite, by Dr. André El Zoghbi, France⁴

Type of malocclusion: open bite case
Treated by: Dr. Diego Peydro⁴
As an Ormco brand, Spark benefits from over 60 years of orthodontic expertise. A global leader in orthodontics, Ormco is committed to providing exceptional educational support throughout your journey with Spark.
Our unique education program offers:
Webinars
Learn from Spark specialists
In-person courses
Face-to-face courses with your peers
Clinical support from our specialists
Available in multiple languages

1. Schedule a demo
2. Attend a free onboarding call
3. We create your Spark account
Spark providers get a free marketing toolbox and can be featured on the Doctor Locator at sparkaligners.com